Archives
-
Résistance aux antibiotiques : l’OMS sonne l’alarme
07/04/2011L'Organisation mondiale de la Santé (OMS) tire la sonnette d'alarme face à l'augmentation de la résistance aux antibiotiques, un mal qui s'explique en partie par une surconsommation de ces molécules. -
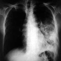
Doit-on craindre un retour de la tuberculose en France ?
03/05/2010Trois cas de tuberculose déclarés dans un collège de Seine-Saint-Denis et un dépistage massif est organisé. Accalmie de courte durée après l’épisode de la grippe A… Un vent de panique pointe son nez, les médias parlent d’une recrudescence de la maladie. Paranoïa ou inquiétude légitime ? Le point avec le Dr Philippe Fraisse*, coordonnateur du groupe "tuberculose" de la Société de Pneumologie de Langue Française et enseignant à l’IFSI de Strasbourg.


Vous devez être connecté pour poster un commentaire.